医院动态
    医院动态
    通知公告

医院动态 首页 > 医院动态 > 医院动态 > 详细内容 
【生死竞速创造“心”的奇迹】北流市人民医院连续成功抢救2名急性心肌梗塞患者
时间:2022-01-18 09:06:45  来源:北流市人民医院  浏览:6777次
    
 
 
        2022年的第一天,人们正在享受着元旦假期,而对于北流市人民医院急诊医学科、心血管内科来说是个异常紧张忙碌而非常充实的一天,早上、晚上连续成功抢救了两名急性心肌梗死的患者。
 
杨勇主任、张轩副主任进行介入手术操作
 
     早上8时48分,120急救中心接到六麻卫生院的出诊电话,有一名胸痛病人7时左右在家晕倒,家属急送到六麻卫生院,初诊为急性心肌梗塞,病情危重,需马上转院到我院进一步治疗。急诊医学科立即启动急性心肌梗塞救治绿色通道预案,立即出车,于9时40分到达六麻卫生院,到诊后复查心电图并立即上传微信群会诊,确诊后为患者按急性心肌梗死急诊介入治疗做准备,监护返回。提前通知心血管内科医师到急诊医学科等侯会诊,并同时激活导管室。10时45分患者顺利转运回我院,心内科医师会诊后快速完成知情谈话及签字,10时57到达导管室,由杨勇、张轩两位主任进行介入手术,术中发现患者右冠状动脉100%闭塞,11时46分顺利植入一枚支架,患者的心肌得以重新灌注,11时58分手术结束,术后患者胸痛症状明显缓解,12时12分转到CCU监护。
 
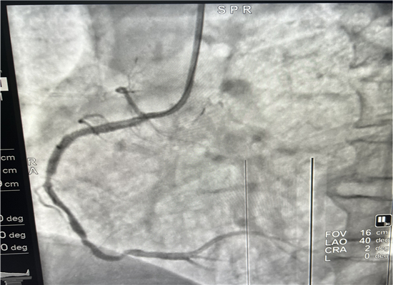
介入手术前
 
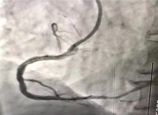
介入手术后
 
    19时13分左右,一名患者因晚饭后行走不稳而请求出诊,急诊医学科医护人员火速赶往现场,到诊时测生命体征,输液后接回急诊医学科,回科后做心电图检查,诊断为急性心肌梗塞,随即通知心血管内科会诊,确定做急诊介入治疗,20时30分进入导管室,杨勇主任、张轩副主任共用21分钟就实现了心肌再灌注,挽救了患者生命。
 
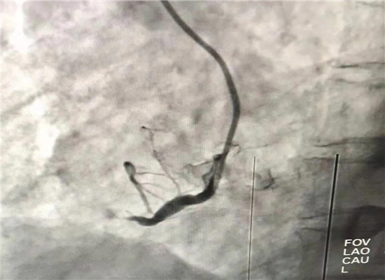
介入手术前
 
介入手术后
 
    需要特别说明的是,晚上的病人并无胸痛症状,但也逃不过我们急诊医学科医师的火眼金睛,可见,正确诊断和及时有效的治疗心肌梗塞,正在成为北流市人民医院的一张闪亮名片!
 
    目前,两名患者症状消失,均已转危为安。今天的两名急性心肌梗塞患者接力救治,从接到电话到开通血管再灌注,耗时短,体现了我院医护人员深厚的理论水平和精湛的技术能力,对急、危、重症患者的抢救做到了及时诊断、及时治疗,及时为人民健康保驾护航。对于时间就是心肌,时间就是生命的限时治疗来说,家属选择到较近距离且有救治能力的北流市人民医院救治,无疑是最明智的选择!
 
    元旦假期第一天,杨勇主任、张轩副主任舍小家、为大家放弃假期美好时光坚守岗位的精神,值得每一个逐梦者称赞、尊重并发扬光大!
 
 
 
上一篇:北流市人民医院独立开展颅内取栓术成功挽救急性脑梗塞患者
下一篇:【喜报】北流市人民医院获自治区卫生健康委通报表扬
电话:0775-6210687(院办) 地址:北流市清湖路0005号(乘坐市内102 108 109 111 115路公共汽车可到本院) 邮编:537400
Copyright ©北流市人民医院 2016 -2026  gxblyy.cn All Rights Reserved.  
南宁市巨人网络负责网站制作维护技术支持。网页浏览建议:IE 9.0浏览器或其以上版本,1366 X 768像素的显示器分辨率。
  桂ICP备18003964号